本院心血管中心近日成功救治一名外表健康、無不良嗜好、卻長期受頑固型高血壓困擾的49歲壯年男性患者。患者體態良好但血壓長期飆破180 mmHg,伴隨劇烈頭痛與失眠。心臟內科暨導管室主任鍾偉信醫師檢查後發現,他除了血壓失控,低密度膽固醇(LDL)異常偏高、冠狀動脈亦有明顯狹窄。為避免血管進一步受損,團隊建議施行立體定位腎動脈交感神經消融術(RDN),並同步植入第三代鎂合金可吸收支架。治療後患者血壓即降,狹窄血管成功撐開,且未來支架吸收,血管可恢復自然彈性。
解決高血壓源頭、修復狹窄血管
該患者雖規律服藥與追蹤,但多年來始終無法有效控制血壓,因此輾轉來到市立醫院尋求治療。經心血管中心安排精密檢查後,由鍾偉信、簡思齊、陳琦棟醫師施以立體定位腎動脈交感神經消融術改善頑固型高血壓,同時針對冠狀動脈病灶植入鎂合金可吸收支架。手術歷時約兩小時,過程順利。隔日患者即可下床活動,且在未服用降壓藥物的情況下,血壓已降至125~135/80~85 mmHg。另外,患者LDL高達200 mg/dL,屬心血管極高危險群,加上近期剛治療腎結石,醫師建議搭配目前最新一代降脂針劑治療,副作用低。患者對於能一次整合處理高血壓、動脈狹窄及血脂問題,深感安心,因為鍾醫師能聽懂他對副作用的擔憂,並表示終於找到「能改善病根」的治療方式。
頑固型高血壓危險更高:中風、心肌梗塞都可能悄悄發生
鍾偉信主任提醒,高血壓與高膽固醇通常沒有明顯症狀,卻是造成心肌梗塞、腦中風、心衰竭與腎臟惡化的主因。尤其頑固型高血壓更容易導致血管脆弱,引發缺血性與出血性中風,風險高於一般高血壓患者。若出現頭暈、胸悶、呼吸急促、視線模糊等症狀,都是緊急警訊。
年輕患者首選:可吸收支架保留血管彈性
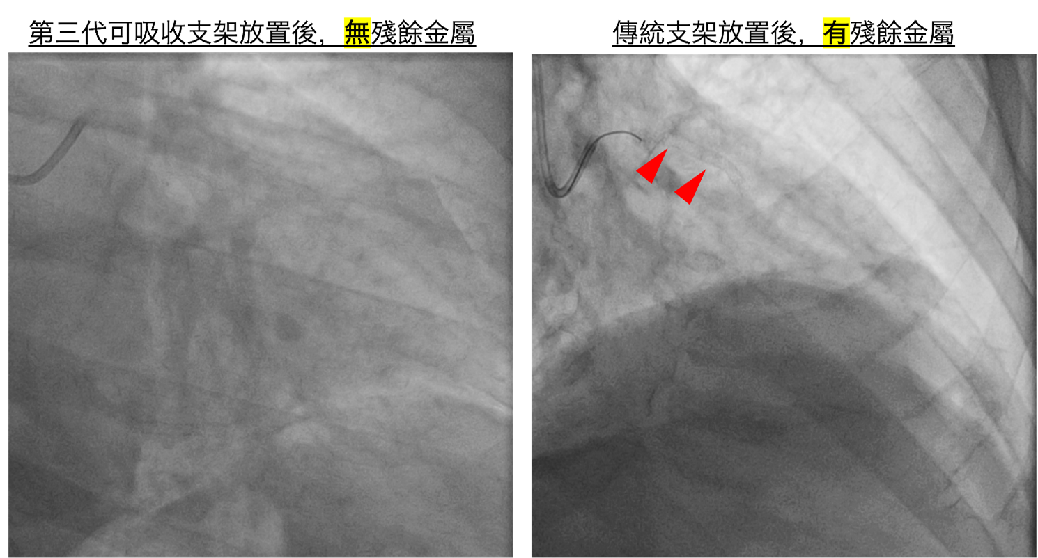
年輕患者若以傳統金屬支架治療,血管會因永久性金屬結構而失去自然舒縮能力。第三代鎂合金可吸收支架初期能穩定撐開血管,一年內約99%會被身體吸收,不會殘留異物或造成長期發炎,對保留未來血管健康十分有利。但前提須血管無嚴重鈣化、長度短、無大分支之情形,才能評估使用。
心血管中心跨科整合 展現快速救命能力
心臟內科簡思齊主任指出,患者迅速恢復的關鍵在於市立醫院心血管中心完善的跨科整合,由張坤正院長統籌、心臟外科蔡峯鈞主任領軍,從急診、心臟內外科、檢驗科、影像科到加護團隊皆能快速合作。對於急性高血壓危象、胸痛或疑似冠心病患者,緊急照會系統與控床機制可在最短時間完成診斷並啟動治療,提升成功率。
鍾醫師提醒民眾務必重視五高:高血壓、高血糖、高血脂與高尿酸、高體脂,並保持定期追蹤與治療。找到合適且願意溝通的醫師,選擇最適合自己的治療方式,並與醫療團隊建立良好互信,才能把握黃金治療時機,維護心血管健康。

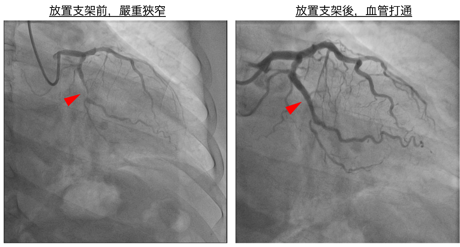
圖一、放置支架前,患者血管嚴重狹窄(左),術後血管打通(右)。

圖二、放置第三代可吸收支架,一年內約99%會被身體吸收,不會殘留異物或造成長期發炎。(非患者本人)
圖三、臺中市立老人復健綜合醫院心血管中心團隊醫師:心臟內科主任簡思齊(左)、心臟內科暨導管室主任鍾偉信(右)與患者合影。
