68 歲旅泰商人劉先生一年前跌倒造成頸部脊髓挫傷,雖在國外治療後恢復基本自理能力,但仍持續四肢無力、雙手麻木及右手無法上舉之情況,到夜間更會痛到難以入眠;今年初在北部接受頸椎手術後病況仍無改善,使他幾近放棄治療。今年11月經友人推薦至臺中市立老人復健綜合醫院(中醫大市醫)進行治療,由腦血管中心李漢忠副院長進行完整評估,發現真正病因是第五至七節頸椎椎間盤突出壓迫脊髓,且合併右手腕隧道症候群,非先前手術的頸椎節段,於此終於找出困擾他一年之久的症狀根源。
中醫大市醫腦血管中心副院長李漢忠暨神經外科主治醫師根據脊椎中心跨團隊精準檢查結果,建議患者進行「第五至第七節頸椎椎間盤切除併人工椎間盤置換」,並同步施作「右手正中神經減壓」。手術歷時約兩小時,出血僅 50c.c,搭配高規格顯微鏡、導航影像系統及超高速電鑽,大幅降低手術風險,加速恢復,不需佩戴頸圈。術後當天,患者的雙手麻痛立即改善,右手能完全抬高;隔日即可自行行走。歷經一年失眠與痛苦後,恢復速度讓他感動地說:「終於能睡個好覺了!真的非常感謝李醫師和整個團隊,幫我找回手腳的功能!」
李漢忠副院長表示,中樞神經一旦受損常可能留下永久後遺症,因此正確評估、掌握時機、避免延誤至關重要。脊椎退化本是自然老化過程,但若疼痛沿著手腳放射、持續惡化、或出現無力、麻木等神經症狀,就不能再視為一般酸痛,而需及早就醫檢查,以免神經受損。
脊椎中心助理副院長張建鈞醫師強調此次治療成功的關鍵,在於「跨科整合」及「精準醫療」,手術由神經外科、心臟內科、麻醉科、影像醫學科及手術室護理團隊共同合作,確保病患在心血管共病、麻醉風險與手術操作細節上都獲得高標準的保護與評估。透過完整的前置檢查與跨科溝通,才能釐清癥結、制定最適合病人的治療策略,避免無效手術或錯失治療時機。
日常生活中,維持正確姿勢、避免久坐、搬重物與保持適當體重,都是預防脊椎退化與神經壓迫的好習慣;若已出現手麻、痠痛、無力或走路不穩等嚴重疼痛影響生活品質,更應盡早就醫,以免造成神經的永久傷害。中醫大市醫「脊椎中心」結合5位骨科醫師與4位神經外科醫師,跨科整合提供完整且精準的脊椎診療,我們重視術前與病患充分溝通,了解病患想解決的症狀以擬定最適合的療程,陪您一起回到健康、安心的生活。

圖一、【治療前】患者曾於年初接受其他醫療院所執行第四頸椎體切除,籠狀支架融合(如左圖紅色箭頭)及第三第五頸椎骨釘骨板固定手術(如右圖藍色箭頭),並有第五第六及第六第七頸椎間盤退化及狹窄情況(如右圖綠色箭頭)。

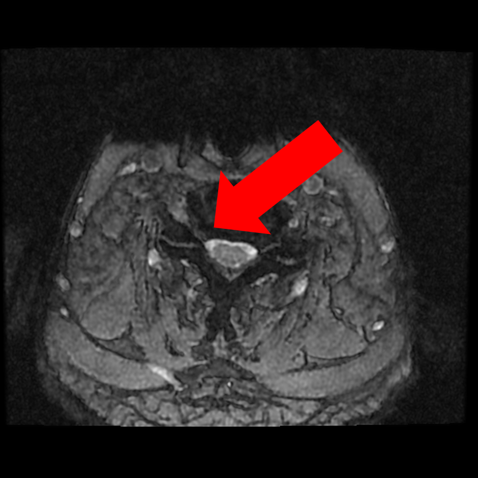
圖二、【術前評估】第五、第六頸椎椎間盤突出往後擠壓到脊髓腔(如左圖箭頭)、椎間盤突出往後偏右擠壓到第六條神經(如右圖箭頭)。

圖三、【術前評估】第六第七頸椎間盤突出往後擠壓到脊髓腔(如左圖箭頭)、同時顯示椎間盤突出往後偏右已擠壓到第七條神經(如右圖箭頭)。

圖四、【治療後】患者的第五第六及第六第七頸椎間盤切除,並植入人工椎間盤,患者術後症狀解除,不需戴頸圈,一個星期就能回工作崗位。
圖五、患者與腦血管中心副院長暨神經外科主治醫師李漢忠合影紀念,患者非常感謝李醫師幫助他恢復手部的知覺、能拿筷子吃飯、能自由行走,右手不痛也能上舉了。
圖六、患者與腦血管中心副院長暨神經外科主治醫師李漢忠(右三)、醫療副院長李建智醫師(右二)等醫護合影。中醫大市醫脊椎中心由助理副院長張建鈞醫師率領5位骨科醫師與4位神經外科醫師,跨科整合提供完整且精準的脊椎診療。
